Epilepsy and Sports

Should people with epilepsy (PWE) play sports? What sports are safe and which are not? Can playing sports make the epilepsy worse or trigger a seizure? Are sports beneficial for PWE? Find the answers to these and other questions in my presentation below.

Nitin K Sethi, MD, MBBS, FAAN

Defeating the Stigma of Epilepsy

Prahlad K Sethi, MD and Nitin K Sethi, MD

Image Source: Epilepsy Awareness Month, November. Vector illustration. EPS10

The history of epilepsy is connected with the history of humanity. One of the earliest descriptions of the disease is reported in the medical text called Sakikku thought to be written sometime around 1.050 BC by the Babylonians. The word epilepsy is derived from Ancient Greek ἐπιλαμβάνειν, “to seize, possess, or afflict”. Even though epilepsy is as old as civilization itself, surprisingly there still exists stigma around this common neurological condition. Despite sustained efforts this stigma persists. The stigmatized are discriminated, ostracized, devalued, scorned, shunned and ignored. In school these children experience social problems and difficulty integrating with peers. Other children are afraid to study or play alongside them. Teachers instead of understanding and treating these children with empathy may ignore them. When these children grow up and enter college, the stigma accompanied them and they experience social isolation leading to mental health disorders such as anxiety and depression. While laws exist to protect against discrimination at work, most epileptics struggle to find a good job despite possessing requisite qualifications. 

In India, young women with epilepsy face unique challenges when it comes to marriage and family. In an arranged marriage the bride and groom are primality selected by parents and other close family members. If the girl or her parents reveal the epilepsy diagnosis, the match is rejected by the prospective bridegroom or his family. If the diagnosis is hidden and comes to light after the marriage, it leads to marital discord and at times divorce. The girl and her parents are devalued and scorned.

How can we remove the stigma surrounding epilepsy in India? Education remains the cornerstone but despite persistent collective efforts of various national and international epilepsy associations, the stigma remains. Neurologists, inadvertently may also be contributing to the problem. We publish articles highlighting the psychiatric comorbidities of epilepsy such as anxiety and depression. But these comorbidities are not unique to epilepsy. Any chronic illness which affects a patient’s quality of life adversely will cause anxiety and depression.  The message we should be sending out consistently is that epilepsy is a highly treatable chronic disease. The vast majority of patients live a normal productive life. We should encourage our patients to live their dreams doing things that make them happy and fulfilled. That you are not alone should be the message. Fyodor Dostoevsky (the great Russian writer), Napoleon Bonaparte (the legendary French military commander and political leader), Sir Isaac Newton (physicist, mathematician, and natural philosopher), Leonardo Da Vinci (painter), Agatha Christie (English writer known for her detective novels), Alfred Nobel (Swedish chemist, engineer, innovator, and the inventor of dynamite), Joan of Arc (legendary defender of the French nation) and many other influential people all had epilepsy. These individuals did not let their epilepsy hold them back. Epilepsy is not something to be ashamed of is the message that should resonate.

The LGBTQ community has faced stigma and discrimination over the years. Some even today say that homosexuality is a mental health illness. The gay community though fought back against this narrative. They have emerged from the shadow of discrimination by proudly coming out as gay, holding gay pride parades and celebrating their diversity. Our patients too should emerge from the shadows. Epilepsy is not a curse, nothing to be ashamed of or to hide from friends, family or a prospective bridegroom. While epilepsy casts a long stigma shadow, the time has come for our patients to emerge from it.

Pregnancy and epilepsy—when you’re managing both

Nitin K. Sethi, MD; Amy Wasterlain, MD candidate; Cynthia L. Harden, MD

Epilepsy is one of the most common neurological conditions. There is an enormous unmet need when it comes to the care of the epilepsy patient. A few years ago I coauthored an article on the care of pregnant women with epilepsy. I am hopeful that physicians, patients and caregivers shall find the article helpful.

When a patient with epilepsy is pregnant or planning
for pregnancy, you face the challenge of balancing
the benefits and teratogenic risks of her antiseizure
medication. Here’s help.

Here is the link to the full article:

https://www.researchgate.net/publication/49662388_Pregnancy_and_epilepsy-when_you’re_managing_both

Nitin K Sethi, MD, MBBS, FAAN

Epilepsy and Brain Care Center

sethinitinmd@hotmail.com

LET US JOIN HANDS TO DEFEAT EPILEPSY!

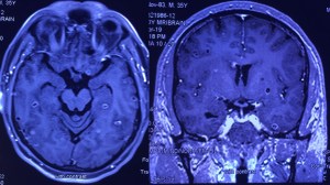
Disseminated cysticercosis (tapeworm)in a vegetarian male

Disseminated cysticercosis (tapeworm) in a vegetarian male

 

Prahlad K Sethi, MD and Nitin K Sethi, MD,

 

 

A 35-year-old vegetarian man presented with a generalized convulsion. MRI brain showed extensive cysticerci lesions involving the bilateral supra and infra-tentorial brain parenchyma, myofascial planes of the face, neck, floor of mouth, parotid glands and left orbital extraocular muscles (figure 1). MRI thigh showed diffuse cysticerci involving multiple muscles (figure 2). Disseminated cysticercosis can occur in vegetarians and non-pork eaters due to fecal-oral contamination of food with Taenia solium eggs from tapeworm carriers1.

Outpatient acute seizure management at the level of the general practitioner clinic: a proposed treatment algorithm

Outpatient acute seizure management at the level of the general practitioner clinic: a proposed treatment algorithm

 

Prahlad K Sethi, MD1 Dhrumil Shah, MD1 Anuradha Batra, MD 1 Nitin K Sethi, MD2

 

1 Department Neurology, Sir Ganga Ram Hospital, New Delhi, India

2 Department of Neurology, New York-Presbyterian Hospital, Weill Cornell Medical Center, New York, NY (U.S.A.)

 

 

Seizures beget seizures has been a point of contention over the years. There is some scientific evidence to suggest that each seizure increases the risk for future seizures and that failure to control seizures in a timely fashion can lead to status epilepticus (SE). Status epilepticus is a life threatening neurological emergency which can present as an exacerbation of a pre-existing seizure disorder such as in an epilepsy patient who is non-compliant with his anti-epileptic drug (AED) regimen or as the initial manifestation of a seizure disorder (epilepsy) or as the manifestation of other systemic and cerebral insults. Prolonged seizures are also associated with worse neurological outcomes. With the aim to reduce the time to treatment gap, outpatient treatment of seizures is now been explored. We discuss this approach in relation to the health care system of India.

 

General practitioners (GPs) also referred to as primary care physicians (PCPs) form the backbone of the Indian health care delivery system. Usually, they are in solo practice working in small clinics (offices) which are ill-equipped to handle medical and surgical emergencies such as seizures and SE.

As awareness about coronary artery disease has increased, GPs now feel comfortable administering aspirin and nitrates before transferring the patient to the hospital. With respect to emergency management of seizures, their knowledge and experience is more limited. If the seizure has stopped, the patient is usually referred to a neurologist. If the patient is actively seizing, the patient is referred to the nearest hospital. The time to treatment gap results in increased morbidity and mortality especially for patients presenting with SE. Unlike developed countries, India lacks a well-organized and responsive 911 type medical emergency system manned by well trained and certified emergency medical technicians (EMTs) and paramedics who can administer life-saving 1st line and 2nd line antiseizure medications such as benzodiazepines (lorazepam, diazepam) and phenytoin or fosphenytoin parenterally en-route to the hospital.

 

Status epilepticus is a neurological emergency. Early effective treatment of SE results in termination of seizure activity and thereby reduction in cerebral hypoxia and damage. Hence every effort should be made to treat SE at the earliest. In India this goal would be best achieved by initiation of treatment of SE at the GP level. Till recently only intravenous benzodiazepine (diazepam or lorazepam) or rectal diazepam was available for the emergent management of seizures and SE. Now drugs which can be rapidly administered via the intranasal or intramuscular routes are also available such as intranasal midazolam and intramuscular fosphenytoin. Neurocritical Care Society guidelines recommend the administration of benzodiazepines via rectal, intramuscular, intranasal or buccal routes if intravenous or oral administration is not feasible. 1Administration via the above routes has been determined to be quick, easy, safe and to achieve high and consistent blood levels of the active compound. 2

 

We feel that antiseizure drugs in these formulations can be easily administered by a GP at the clinic without any special expertise or formal training.

 

 

 

 

 

 

 

 

 

 

 

 

 

 

 

 

 

Intranasal midazolam: Currently in Indian market 2 midazolam formulations are available, one is MIDACIP (Cipla Pharmaceuticals) and other is MIDASPRAY (Intas Pharmaceuticals). They are both metered spray preparations. Two strengths of MIDACIP are commercially available: (1.25mg and 0.5mg)

 

Method of administration of MIDACIP nasal spray (Figure 1):

 

 

  1. Shake the bottle gently.
  2. Remove the dust cap.
  3. Hold the bottle with your forefinger and middle finger on either side of the nozzle and your thumb underneath the bottle
  4. If using first time, spray it six times in the air with the nozzle pointing away from the patient until the consistent mist of the drug is delivered, this is called priming, which ensures that correct dose is delivered.
  5. If the patient is in supine position, head is slightly lifted upwards and the device should be placed near the patient’s nose.
  6. Insert the nozzle into patient’s nostril, depress the pump with a firm even stroke. (Patient need not inhale)
  7. Tilt the patient head backward while spraying, this will avoid swallowing of the solution.
  8. Administer one spray at a time in each nostril to continue prescribed dose
  9. Reprime the device for subsequent use if the bottle is not used for more than a day. To reprime spray it two to three times in the air until a fine mist appears. For reusing the device nozzle and dust cap must be washed before storage.

 

 

 

 

Figure 1. Method of administration of intranasal midazolam.

 

Each nasal spray delivers either 1.25mg or 0.5mg of midazolam. Dose is titrated according to individual patient weight and full effective dose should be administered. For adults, dose is 5 mg if weight <50 kg and 10 mg if weight>50 kg. The dose should be equally divided and administered into each nostril. For children the recommended dose of MIDACIP nasal spray is 0.2 mg/kg body weight. The dose should be equally divided and administered into each nostril. Placing half the medication in each nostril reduces the volume while doubling the available surface area for absorption.

 

 

Table 1. Dosing Guidelines of MIDACIP Nasal Spray in children

 

Age (years) Weight (kg) Dose (mg) Metered Doses in Each Nostril
½ – 1 <10 1.25 – 2 1 – 2
1 – 4 10 – 16 2.5 2 – 3
4 – 10 16 – 32 5 4 – 6
>10 > 32 10 10

 

 

 

 

 

 

 

 

Intramuscular midazolam and fosphenytoin: GPs by virtue of their training can administer intramuscular injections with ease. In India intramuscular midazolam (MIDAZ, Abbott Healthcare or FULSED, Ranbaxy Laboratories) injections are widely available and cost effective. Midazolam is given intramuscularly at the dose of 10mg once or 0.2mg/kg once but not exceeding 10mg. Intramuscular fosphenytoin formulations are also available (Fosolin, Zydus Cadila Healthcare or Fosphen, Intas Pharmaceuticals) but more expensive. These preparations are available as ampoules of 150mg (75mg/ml, 2ml). It is our recommendation that the GP administer 2 ampoules of fosphenytoin stat in the clinic prior to transporting the patient to the hospital. Doing so may abort the seizure and possibly terminate the SE.

 

 

Use of the above formulations in the clinic setting by the GP along with established seizure first aid guidelines (Figure 2) has the potential to save many lives and reduce the morbidity from seizures and SE in our country.

 

 

 

 

 

 

 

 

 

 

Figure 2. Seizure first-aid guidelines (Source: Epilepsy Foundation Eastern Pennsylvania, www.epepa.org)

 

References

 

 

  1. Brophy GM, Bell R, Claassen J, et al. Guidelines for the evaluation and management of status epilepticus. Neurocrit Care 2012; 17:3–23.

 

  1. Agarwal SK, Cloyd JC. Development of benzodiazepines for out-of-hospital management of seizure emergencies. Neurol Clin Pract. 2015; 5:80-85.

 

 

 

Concussions and the risk of post-traumatic epilepsy

Concussions and the risk of post-traumatic epilepsy

 

A concussion is a complex pathophysiological process affecting the brain, induced by traumatic biomechanical forces. Immediately following a concussion, an athlete is usually advised physical and cognitive rest till post-concussion symptoms abate. The athlete then enters a stepwise return to play protocol. Premature return to play risks a second concussion, second impact syndrome, exacerbation and persistence of post-concussive symptoms.

 

Sports and Epilepsy

Sport is important not only in normal healthy populations, but also in persons with medical illness, physical or mental disabilities. Active participation in sports is beneficial physically and psychologically. The main concern in sports for persons with epilepsy is safety.

 

Why are people with epilepsy restricted from some sports?

 

Rationale is that the occurrence of an untimely seizure during certain sporting event has the potential for causing substantial injury and bodily harm both to the patient with epilepsy as well as fellow athletes and even spectators.

 

Example: if a person with epilepsy has a generalized convulsion or a complex partial seizure while skydiving: he shall not be able to deploy his parachute and a fatal accident can occur.

 

:a person with epilepsy taking part in an automobile racing event suffers a seizure while making a bend at speeds in excess of 100mph

 

:a person with epilepsy suffers a seizure while taking part in a swimming meet.

 

:a person with epilepsy suffers a seizure while bicycling

 

:a person with epilepsy suffers a seizure while horseback riding

 

:a person with epilepsy suffers a seizure while skiing down a steep hill

 

:even things more mundane such as having a seizure while running on a treadmill, while playing tennis, while jogging outside have the potential to cause bodily harm to the patient and others.

 

 

Why are people with epilepsy restricted from some sports?

 

Rationale is that repeated injury to the head (concussions) during some sports could potentially exacerbate seizures.

Example: a person with epilepsy who is indulging in contact sports such as boxing, karate, kick-boxing, muay thai boxing, American football, ice-hockey, wrestling, judo

 

But are these restrictions and fears actually based on scientific evidence or are they unfounded? Which sports are safe and which are not? Could indulgence in some sports make seizures potentially worse Vs. could some sports actually be beneficial for people with epilepsy (physically and psychologically)? Can vigorous physical exercise provoke seizures?

 

 

Exercise and seizures

 

One reason that people with epilepsy have been traditionally restricted from certain sports is the fear both in the patient and the treating physician that exercise especially aerobic exercise may exacerbate seizures. Some studies have shown an increase in interictal discharges during or after exercise. Most frequently these patients have generalized epilepsies. At least some frontal lobe and temporal lobe seizures are clearly precipitated or at times solely occur during exercise suggests that these are a form of reflex epilepsies. A number of physiologic mechanism by which seizures may be provoked by exercise have been postulated. These include hyperventilation with resultant hypocarbia and alkalosis induced by exercise. Another possible mechanism which is postulated to cause exercise induced seizures is hypoglycemia. This usually causes seizures after exercise in diabetic patients. Other mechanisms which have been postulated for exercise triggered seizures include the physical and psychological stress of competitive sports and potential changes in anti-epileptic drug metabolism. Exercise is a complex behavior and involves not such the motor system and the motor cortex but also involves other domains such as attention, concentration, vigilance and presumably some limbic networks which mediate motivation, aggression and competitiveness. Hence it is possible that patients who have temporal or frontal lobe epilepsy may on rare occasions have seizures triggered by exercise.

 

There is some limited evidence that exercise may in fact be protective and have physical, physiological and psychological benefits in patients with epilepsy. Electroencephalographic studies have shown that inter-ictal epileptiform discharges either remain unchanged or may decrease during exercise so there is some hint that exercise may actually raise the seizure threshold. Regular exercise also influences neuronal and hippocampal plasticity by upregulation of neurotropic factors. There is further evidence to suggest that regular physical exercise can improve the quality of life, reduce anxiety and depression and improve seizure control in patients with chronic epilepsy.

 

 

 

 

 

 

 

 

What sports are off limits for people with epilepsy?

 

No sport is completely off limit for a patient with epilepsy. Key though is proper supervision to reduce the potential for injury. There are some sports such as skydiving, automobile racing, swimming in the open seas and horseback riding which should be avoided by patients with epilepsy. Other sports can be enjoyed by patients with epilepsy but one should remember that they all have the potential to result in bodily harm if seizures occur when the patient is not supervised or if he is not wearing protective head and body gear.

 

 

Concussion and seizures (post traumatic epilepsy): what is the link?

 

The link between concussion (closed head trauma) and seizures has been and continues to be closely looked at. The fear of concussions (minor head trauma) making seizures worse is the prime reason why people with epilepsy are discouraged from some sports such as tackle football, ice-hockey, boxing, mixed martial arts and wrestling. The human skull is quite resilient and the closed head trauma has to be significant for it to result in seizures. Usually a concussion which results in prolonged loss of consciousness (some authors say more than 30 minutes) is graded as a significant head trauma. Minor bumps and bruises to the head do not cause seizures, do not increase the risk of future seizures and more importantly do not make chronic epilepsy worse. Seizures may occur immediately following a severe closed head trauma. Immediate post traumatic seizures by definition occur within 24 hours of the injury. They have also been referred to as impact seizures. Early post traumatic epilepsy refers to seizures which occur about a week to 6 months after the injury. Seizures may occur as far out at 2 to 5 years after head trauma (late post traumatic epilepsy). Factors which increase the risk of post traumatic seizures/ epilepsy include severity of trauma, prolonged loss of consciousness (more than 24 hours), penetrating head injury, intra or extraaxial hemorrhage, depressed skull fracture and early post traumatic seizures.

Counseling patients

 

Patients with epilepsy should be encouraged to exercise and take part in sports. My personal feeling is that no sport should be off limits to them with the exception of maybe sky-diving, river rafting and boxing. The goal should be exercising and playing sports safely. Walking, running, cycling and yoga are great exercises which can be indulged in with little to no risks. I advise all my patients with epilepsy (especially those with poorly controlled epilepsy) to wear a Medic Alert bracelet or carry a card in their wallet. This is of immense help were a seizure to occur in the field (as for example when a patient is jogging or cycling and is not in the immediate vicinity of his or her home). Low risk recreational sports such as walking or running usually do not need a one is to one supervision if seizures are well controlled by history. Team sports such as volleyball, basketball, baseball and softball are popular sports which carry a low risk of injury. For cycling I advise my patients to wear a helmet and have their bikes fitted with lights and reflectors. I also advise them to keep off from the busy city streets. “you do not want to have a seizure at the wrong place and at the wrong time”. Swimming is a great way to keep fit and also to meet and make friends. I feel many patients with epilepsy are discouraged from swimming due to an irrational fear of caregivers and physicians of drowning. I advise my patients not to swim alone. Most of the city pools have life guards and a polite request to them to keep a watch out goes a long way in reassuring both the patient and the caregivers. Swimming in the open seas is more risky. I advise my patients to swim close to the beach under the watchful eyes of a life guard. Also having a buddy around helps, preferably someone strong enough to pull the patient out of the water if a seizure was to occur. The option of wearing a life jacket is under utilized.

 

Final thoughts (a patient’s perspective)

 

These are the thoughts of a young patient of mine:

 

“I have always been a very active person and love playing sports such as Tennis, Yoga, Running etc, and I always try to pursue my dreams and not let things get in the way, but being epileptic, it is sometime hard to not worry about things happening. Whenever I play sports I get hot easily (face turns purple) and in the back of my head I find myself always hoping that nothing happens that would cause me to have a seizure. I ran my first half marathon two years ago, and in the back of my head there is always the thought of something happening, so I started to motivate myself by saying “I can do this, you will be fine.” My father taught me when I was younger that I can choose to let it hold me back or make the most of life! Many people consider epilepsy a disability, but I try not to because I don’t let it hold me back.”

 

 

Nitin K Sethi, MD, MBBS, FAAN Assistant Professor of Neurology New York-Presbyterian Hospital Weill Cornell Medical Center

Devices in the treatment of epilepsy

Devices in the treatment of epilepsy

Nitin K Sethi, MD

A number of neurostimulation devices are now available for the treatment of medically refractory epilepsy. Medically refractory epilepsy is currently defined as the failure of the patient’s epilepsy to respond to the use of at least 2 frontline and appropriate anti-epileptic drugs (AEDs)) (some physicians use up to 3 drugs) used in a successive fashion.

Types of devices for the treatment of medically refractory epilepsy:

1. Vagus Nerve Stimulator (VNS)
2. Responsive Neurostimulator (RNS)
3. Deep brain stimulator (DBS)

Neurostimulation not a replacement for resective surgical options.

Vagus Nerve Stimulator (VNS): fundamental concepts

1. pacemaker like device to stimulate the Vagus (CN X) nerve.
2. manufactured by Cyberonics Inc, Houston, Tx
3. gained FDA approval in 1997 for the adjunctive treatment of patients over 12 years of age with medically intractable partial onset seizure disorder.
4. Approved in Europe in 1994.
5. simple device consisting of 2 electrodes, an externally programmable pulse generator and a battery pack.
6. the stimulating electrode is implanted around the midcervical portion of the left vagus nerve (composed of 80% afferent fibers) while the impulse generator along with the battery pack is implanted in a subcutaneous pocket in the left infraclavicular region.
7. left vagus nerve is the preferred site of stimulation due to the higher risks of cardiac arrhythmias with right vagus nerve stimulation as it innervates the sinoatrial node and thus influences heart rate and rhythm.
8. the pulse generator is programmed externally through the skin via a magnetic currently hand held wand.
9. different parameters of stimulation can be programmed such as current strength, pulse width, pulse train frequency, current on and off times as well as magnet current strength.
10. a magnet usually worn on the patient’s arm can provide on-demand stimulation.

Mechanism of action of VNS:

1. Not fully elucidated.
2. Vagus nerve has afferent inputs to multiple areas which may be involved in the generation or propagation of ictal activity: reticular formation, thalamus, cerebral cortex.
3. Electrical impulses via the left vagus nerve travel to the nucleus of tractus solitaries (NTS). From the NTS are outflow tracts to reticular formation and locus ceruleus (LC) increasing the release of norepinephrine and serotonin. VNS may thus increase the release of gamma amino butyric acid or inhibit the release of glutamate. Rats in which the LC is destroyed, VNS is no longer effective in controlling seizures.
4. Widespread cortical de-synchronization by the afferent volley of impulses leading to inhibition of recruitment of epileptic discharges may be another mechanism.
5. Alteration of cerebral blood flow (CBF) in specific areas of the brain-not widely accepted.
6. Peripheral stimulation of CN X may modify the epileptic network circuit in the brain by synaptic modulation.
7. Effects on the amygdala likely mediate the antidepressant effects and mood elevating effects of VNS.

Stimulation parameters which can be adjusted:

1. Output current (usual settings are between 1.5 and 2.25 mA)
2. Pulse width (usually between 250-500microsecs)
3. Frequency (usually between 20 to 30 Hz)
4. Time on (usually on for 30 secs)
5. Time off (usually off for 3 to 5 mins)
6. Magnet current (usually set at 0.25 mA above output current)
7. Fast cycling 7 secs on and 14 secs off.
8. Battery life depends upon stimulation settings

Generator models currently available:

1. 102 Pulse
2. 102 Pulse Duo
3. 103 Demipulse
4. 104 Demipulse Duo
5. 105 Aspire HC
6. 106 Aspire SR

Clinical efficacy of VNS:

1. Multiple studies establish the efficacy of VNS in patients with partial onset (focal) epilepsy both in children and adults.
2. Currently FDA approved for adjunctive therapy in reducing the frequency of seizures in adults and adolescents over 12 years of age with partial onset seizures that are refractory to antiepileptic medications.
3. Currently FDA approved for the adjunctive long-term treatment of chronic or recurrent depression for patients 18 years of age or older who are experiencing a major depressive episode and have not had an adequate response to four or more adequate antidepressant treatments.
4. Used at times for generalized epilepsy but efficacy not established-lack of good quality studies.
5. Case reports showing efficacy in Lennox-Gastaut syndrome (LGS).

Side-effects/ complications of VNS therapy:

1. infection at the generator implantation site.
2. dyspnea, coughing bouts, laryngeal spasms and choking as current is increased.
3. dysphagia, odynophagia as current is increased
4. hoarseness or change in voice
5. thermal injury to the Vagus nerve can occur but is not commonly reported
6. use with caution in patients with COPD and asthma.
7. VNS may worsen pre-existing obstructive sleep apnea (OSA) due to central and peripheral mechanisms by altering the tone of the upper airways mucles.
8. Recommendation is to turn off VNS prior to CPAP titration.

Contraindications of VNS therapy:

1. MRI is not an absolute contraindication.
2. MRI can be carried out-but recommendation is to turn the device off first.
3. Interrogate device both before and after MRI scan.
4. Avoid use of short-wave diathermy, microwave diathermy and devices which generate strong electric or magnetic fields in the vicinity of the VNS.

Responsive Neurostimulation Device (RNS): fundamental concepts

1. Pacemaker like device to stimulate the epileptogenic focus or foci in the brain.
2. manufactured by NeuroPace, Mountain View, California.
3. generator is implanted in a pocket drilled into the skull bone by the neurosurgeon.
4. cortical strip leads and NeuroPace depth leads are implanted onto or into the epileptogenic focus or foci determined by
5. remote monitor and wand used by patient to interrogate device, collect data and upload to the Internet for the physician.
6. programmer and wand used by physician to collect data and program the neurostimulator.
7. a magnet can be swiped over the device to trigger storage of ECoG and also to temporarily stop stimulation.
8. FDA approved as adjunctive therapy in individuals 18 years of age or older with partial onset seizures who have undergone diagnostic testing that localized no more than 2 epileptogenic foci, are refractory to two or more antiepileptic medications, and currently have frequent and disabling seizures (motor partial seizures, complex partial seizures and/or secondarily generalized seizures).
9. Unlike VNS which is an open-loop device, RNS is semi-closed. The device continuously records electrocorticogram (ECoG) and then based on an algorithm can be programmed to deliver brief pulses of electrical stimulation when it detects activity that could lead to a seizure.

Mechanism of action of RNS:

1. rationale for RNS is responsive stimulation of an epileptic focus/ foci in the brain
2. if stimulated in time and with current of appropriate intensity, evolving seizure shall get aborted
3. involves real time electrographic analysis and responsive and automatic delivery of stimulation

Stimulation parameters for RNS:

1. two different epileptogenic foci can be stimulated individually
2. wide range of stimulation settings/parameters that can be adjusted-from 40 to 1000 microseconds, 1 to 333 Hz, 0.5 to 12 mA

Clinical efficacy of RNS:

1. Results similar to other stimulation devices
2. At the end of 2 years, the median seizure reduction was 56%.

Side-effects/ complications of RNS therapy

1. Surgical complications during implantation of device-risk of hemorrhage, infection
2. Lead breakdown/disconnection
3. Replacement of generator requires another craniotomy
4. Patient needs close follow up for stimulation parameters adjustment hence not ideal for patients who live in rural areas or cannot come for regular follow ups.

Deep Brain Stimulator (DBS): fundamental concepts

1. Stimulation of the anterior nucleus of thalamus (ANT)
2. Electrodes implanted bilaterally in the ANT.
3. Stimulator and battery implanted under left clavicle.

Stimulation parameters for DBS:

1. high-frequency stimulation
2. 5 V, 145 pulses per sec, 90 microseconds, cycle time 1 minute on and 5 minutes off

Mechanism of action of DBS:

1. thalamus is a major relay station and thalamocortical networks are widely believed to be involved in seizure propogation by synchronization of ictal activity.
2. stimulation of ANT may cause desynchronization and thus inhibit seizure propogation.
3. in animal experiments low-frequency stimulation leads to EEG synchronization and high-frequency causes EEG desynchronization.

Clinical efficacy of DBS:

1. SANTE (stimulation of the anterior nucleus of thalamus for treatment of refractory epilepsy) study-results similar to other stimulation devices.
2. Fourteen patients were seizure-free for 6 months.

Side-effects/ complications of DBS therapy

1. Surgical complications during implantation of device-risk of hemorrhage, infection
2. Lead breakdown/disconnection
3. Replacement of generator requires another craniotomy
4. Patient needs close follow up for stimulation parameters adjustment hence not ideal for patients who live in rural areas or cannot come for regular follow ups.


References

1. Parakh M, Katewa V. Non-pharmacologic management of epilepsy. Indian J Pediatr. 2014 Oct;81(10):1073-80. doi: 10.1007/s12098-014-1519-z. Epub 2014 Jul 5.
2. Ulate-Campos A, Cean-Cabrera L, Petanas-Argemi J, García-Fructuoso G, Aparicio J, López-Sala A, Palacio-Navarro A, Mas MJ, Muchart J, Rebollo M, Sanmartí FX. Vagus nerve stimulator implantation for epilepsy in a paediatric hospital: outcomes and effect on quality of life. Neurologia. 2014 Jun 26. pii: S0213-4853(14)00122-4.
3. Terra VC, Amorim R, Silvado C, Oliveira AJ, Jorge CL, Faveret E, Ragazzo P, De Paola L. Vagus nerve stimulator in patients with epilepsy: indications and recommendations for use. Arq Neuropsiquiatr. 2013 Nov;71(11):902-6.
4. Meneses MS, Rocha SF, Simão C, Santos HN, Pereira C, Kowacs PA. Vagus nerve stimulation may be a sound therapeutic option in the treatment of refractory epilepsy. Arq Neuropsiquiatr. 2013 Jan;71(1):25-30.
5. Wang DD, Deans AE, Barkovich AJ, Tihan T, Barbaro NM, Garcia PA, Chang EF. Transmantle sign in focal cortical dysplasia: a unique radiological entity with excellent prognosis for seizure control. J Neurosurg. 2013 Feb;118(2):337-44.
6. Spatola M, Jeannet PY, Pollo C, Wider C, Labrum R, Rossetti AO. Effect of vagus nerve stimulation in an adult patient with Dravet syndrome: contribution to sudden unexpected death in epilepsy risk reduction?. Eur Neurol. 2013;69(2):119-21.
7. Aron M, Vlachos-Mayer H, Dorion D. Vocal cord adduction causing obstructive sleep apnea from vagal nerve stimulation: case report. J Pediatr. 2012 May;160(5):868-70.
8. Elliott RE, Morsi A, Kalhorn SP, Marcus J, Sellin J, Kang M, Silverberg A, Rivera E, Geller E, Carlson C, Devinsky O, Doyle WK. Vagus nerve stimulation in 436 consecutive patients with treatment-resistant epilepsy: long-term outcomes and predictors of response. Epilepsy Behav. 2011 Jan;20(1):57-63.
9. Ashton AK. Depressive relapse after vagal nerve stimulator explantation. Am J Psychiatry. 2010 Jun;167(6):719-20.
10. Air EL, Ghomri YM, Tyagi R, Grande AW, Crone K, Mangano FT. Management of vagal nerve stimulator infections: do they need to be removed? J Neurosurg Pediatr. 2009 Jan;3(1):73-8.
11. Bergey GK, Morrell MJ, Mizrahi EM, Goldman A, King-Stephens D, Nair D, Srinivasan S, Jobst B, Gross RE, Shields DC, Barkley G, Salanova V, Olejniczak P, Cole A, Cash SS, Noe K, Wharen R, Worrell G, Murro AM, Edwards J, Duchowny M, Spencer D, Smith M, Geller E, Gwinn R, Skidmore C, Eisenschenk S, Berg M, Heck C, Van Ness P, Fountain N, Rutecki P, Massey A, O’Donovan C, Labar D, Duckrow RB, Hirsch LJ, Courtney T, Sun FT, Seale CG. Long-term treatment with responsive brain stimulation in adults with refractory partial seizures. Neurology. 2015 Feb 24;84(8):810-7
12. Cox JH, Seri S, Cavanna AE. Clinical utility of implantable neurostimulation devices as adjunctive treatment of uncontrolled seizures. Neuropsychiatr Dis Treat. 2014 Nov 14;10:2191-200.
13. Morrell MJ. In response: The RNS System multicenter randomized double-blinded controlled trial of responsive cortical stimulation for adjunctive treatment of intractable partial epilepsy: knowledge and insights gained. Epilepsia. 2014 Sep;55(9):1470-1.
14. Heck CN, King-Stephens D, Massey AD, Nair DR, Jobst BC, Barkley GL, Salanova V, Cole AJ, Smith MC, Gwinn RP, Skidmore C, Van Ness PC, Bergey GK, Park YD, Miller I, Geller E, Rutecki PA, Zimmerman R, Spencer DC, Goldman A, Edwards JC, Leiphart JW, Wharen RE, Fessler J, Fountain NB, Worrell GA, Gross RE, Eisenschenk S, Duckrow RB, Hirsch LJ, Bazil C, O’Donovan CA, Sun FT, Courtney TA, Seale CG, Morrell MJ. Two-year seizure reduction in adults with medically intractable partial onset epilepsy treated with responsive neurostimulation: final results of the RNS System Pivotal trial. Epilepsia. 2014 Mar;55(3):432-41.
15. Salanova V, Witt T, Worth R, Henry TR, Gross RE, Nazzaro JM, Labar D, Sperling MR, Sharan A, Sandok E, Handforth A, Stern JM, Chung S, Henderson JM, French J, Baltuch G, Rosenfeld WE, Garcia P, Barbaro NM, Fountain NB, Elias WJ, Goodman RR, Pollard JR, Tröster AI, Irwin CP, Lambrecht K, Graves N, Fisher R; SANTE Study Group. Long-term efficacy and safety of thalamic stimulation for drug-resistant partial epilepsy. Neurology. 2015 Mar 10;84(10):1017-25.

Seizures associated with alcohol intake: to abstain or not to abstain that is the question

A reader of my blog wrote in to me. As has been the trend, I try to answer each and every question though lately I have to admit I have fallen back in this quest mostly due to constraint of time. I promise to be more timely in my replies going forward.

 

Here is his question. My answer to it follows:

 

HI, I was 21 when I had a seizure, following a weekend long music festival and drinking heavily and consuming amphetamines. Had about 5 or 6 following this up to the age of 25, mostly following drinking heavily and sometimes consuming amphetamines and/or diazepam. Have not taken any illegal substances since and now in my 30′s. Still drink regularly. No seizures and spent a few years taking a very low dose-100/200mg of epilim chrono(sodium valporate). Have not taken medication for 4 yrs approx. A junior doctor told me(while the consultant had left the room to fetch something) that he had studied this for his theses and it was very common for young adult males to “develop” seizures but assured me I would grow out of it, which appears so far(touch wood) to be true. Is there any truth in this? Is my case prob related to drink/illegal substance misuse?

 

S

 

 

Brain diseases reply:

 

Dear S,

Thank you for writing in to me at www.braindiseases.wordpress.com. I shall answer your question to me in a unique way. Here we go.

 

As a neurologist with interest in epilepsy I frequently encounter patients with history similar to yours. After a night of heavy drinking (usually different types of alcohol are consumed over a short course of time), at times along with other illicit drugs such as cocaine, amphetamines and more commonly prescription drugs such as Xanax and Valium (diazepam), lo and behold the person is witnessed to have a generalized convulsion soon there after (either that night itself or early next morning). The first encounter these patients have with the health care system is in the ER to which they present or are brought to by the EMS for evaluation. Now imagine that you are a physician in the ER and evaluate such a patient in the middle of the night. You are pressed for time. What shall be your assessment and plan? You shall order a few basic blood tests and a CT scan of the brain. CT scan comes back normal and the basic labs are normal too. Most of the times these patients are discharged from the ER after starting them on an anticonvulsant  (sodium valproate, phenytoin (Dilantin) and levetiracetam (Keppra) are the most commonly chosen drugs) with advice to follow up with a neurologist like me.

 

Now you may think that this “case” is closed but that is a fallacy.

 

Many questions remain unanswered:

 

  1. Was the seizure indeed induced by alcohol and the combination of illicit drugs? How sure are we of this fact? :  if this is indeed a seizure induced by alcohol and illicit drug use then surely the patient does not need an anticonvulsant drug. If he stops drinking/binging and stops illicit drug use he shall not have any more seizures.
  2. How long should the anticonvulsant medication continue?
  3. Can he drink a “little” amount or is alcohol completely off the bargaining table? Does he have to abstain for life?
  4. Who was the actual culprit—alcohol alone Vs alcohol in excess Vs alcohol and illicit drug combination Vs illicit drug by itself?
  5. Does the patient have an underlying seizure disorder (tendency to have seizure/ underlying epilepsy) and that alcohol/illicit drug combo was just the fuse. Such a patient of course shall warrant treatment with an anticonvulsant. Again more questions: which anticonvulsant and for how long? Does he need to be treated for life? If he takes an anticonvulsant can he again start drinking?

 

There is no one right answer to the above questions. No one size fits all model here. The answer to each has to be personalized to the patient at hand. Fortunately to answer the above questions as a neurologist I do not need expensive tests. All I need to do is to spend time with the patient and get a thorough history. In some cases I may order an electroencephalogram (EEG).

 

The rest is easy. Hope you found my answers insightful.

 

Nitin Sethi, MD