Disseminated cysticercosis (tapeworm) in a vegetarian male
Prahlad K Sethi, MD and Nitin K Sethi, MD,
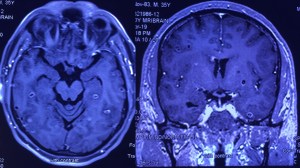
A 35-year-old vegetarian man presented with a generalized convulsion. MRI brain showed extensive cysticerci lesions involving the bilateral supra and infra-tentorial brain parenchyma, myofascial planes of the face, neck, floor of mouth, parotid glands and left orbital extraocular muscles (figure 1). MRI thigh showed diffuse cysticerci involving multiple muscles (figure 2). Disseminated cysticercosis can occur in vegetarians and non-pork eaters due to fecal-oral contamination of food with Taenia solium eggs from tapeworm carriers1.


You must be logged in to post a comment.