Thanks for making this blog available.
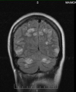
I’m a 59 year old woman. My doctor has been unable to put all these test results together into any form of diagnosis. He keeps leaning towards a cardiac problem and I gave in and had carotid dopplers done which were normal for age. I had a full cardiac assessment earlier this year by my cardiologist with no problems found.
I would love to hear if you could maybe glean some information from my symptoms and test results.
April 2011
Two episodes of sudden temporary loss (L
Nerve conduction tests done yesterday were also abnormal although full report is not available obviously.
Thanks for making this blog available.
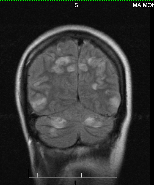
I’m a 59 year old woman. My doctor has been unable to put all these test results together into any form of diagnosis. He keeps leaning towards a cardiac problem and I gave in and had carotid dopplers done which were normal for age. I had a full cardiac assessment earlier this year by my cardiologist with no problems found.
I would love to hear if you could maybe glean some information from my symptoms and test results.
April 2011
Two episodes of sudden temporary loss (L
Nerve conduction tests done yesterday were also abnormal although full report is not available obviously.
Can you give me any idea of what this all means.
Regards